
Clinical
Biopsy results in minutes, not days
PROOF OF CONCEPT STUDY
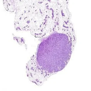
CONVENTIONAL PATHOLOGY
RPIDx™ DIAGNOSIS
VS
5 day result confirming RPIDx diagnosis
5 minute result showing cancer
Successful study completed at UCLA in partnership with Leica Microsystems
Results in five minutes
100% correlation between RPIDx™ and conventional pathology
Demonstrated the clinical viability and utility of the RPIDx™ solution
Contact us
You can contact our CEO Dr. Rachel Wellner directly.